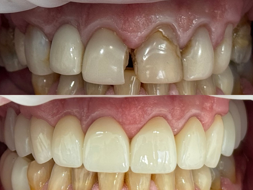
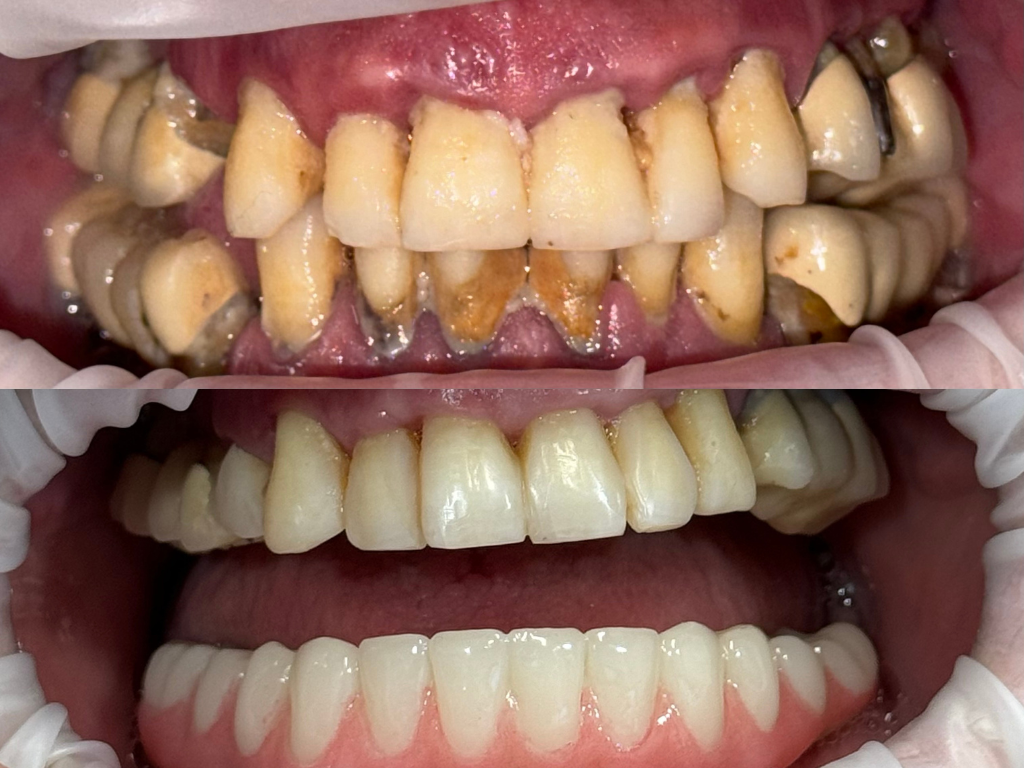
At Bay Central Dental, advanced technology meets a calming, thoughtfully designed space — ensuring every visit feels seamless, comfortable, and truly centered on you.




Honest feedback from guests who’ve experienced our gentle touch, modern treatments, and stress-free approach to dental care.
“Our family tend to get a bit anxious going to visit the dentist, but the place had a relaxing vibe, everyone was professional, and most of all, the kids loved it and can’t wait to go back. The treatment was gentle, straightforward, and didn’t feel rushed. We all walked out with much healthier teeth and way less stress.”
Patient
Posted on Emma BruceTrustindex verifies that the original source of the review is Google. Great experience - all of the staff are lovely, and the dentist (Tom) was welcoming & explained everything very clearly. Would highly recommend!Posted on George HannaTrustindex verifies that the original source of the review is Google. I had a really positive experience at Bay Central Dental. I would highly recommend this practice and the team!Posted on Mark SalibTrustindex verifies that the original source of the review is Google. Thomas was very professional and made me feel very comfortable throughout the whole procedure of removing my 3 wisdom teeth. Highly recommended!Posted on Kiro TadrusTrustindex verifies that the original source of the review is Google. Dr Thomas took the time to explain all procedures and issues in a calm, professional and reassuring manner. My experience with Dr Thomas and his team was very reassuring, would definitely recommend.Posted on philo morganTrustindex verifies that the original source of the review is Google. I had an excellent experience at Dental Woolooware. My dentist, Dr Ramzy, was incredibly thorough and took the time to explain every step of the process during my clean — from what he was looking for to how I could maintain things better long-term. It wasn’t just a quick check-up; it felt genuinely educational and personalised. You can tell he takes pride in his work and cares about his patients’ understanding as much as their results. I left feeling confident, informed, and with the cleanest teeth I’ve had in a while. Highly recommend!Posted on Abraham FanousTrustindex verifies that the original source of the review is Google. I had an outstanding experience with Dr. Thomas and his team. From the moment I walked in, I was impressed by how modern, clean, and state of the art the clinic is, everything from the equipment to the calming design makes you feel comfortable straight away. Dr. Thomas is incredibly skilled, knowledgeable, and thorough, taking the time to explain every step of the process and making sure I felt completely at ease. You can really tell he’s passionate about his work and genuinely cares about his patients’ comfort and dental health. This is by far one of the best dental experiences I’ve ever had I can’t recommend Dr. Thomas and his clinic highly enough!Posted on Elie TawfikTrustindex verifies that the original source of the review is Google. Had an amazing experience at Bay Central Dental! The team was super friendly, professional, and made me feel completely at ease from start to finish. The clinic is spotless and modern, and the whole process was very thorough and painless. Highly recommend to anyone looking for quality dental carePosted on Robert AzmyTrustindex verifies that the original source of the review is Google. Dr Thomas Ramzy was very professional in his hospitality towards me. I automatically felt at ease after meeting him especially when I was feeling anxious walking in. He made sure that my overall experience was a pleasant one and was very informative and educational throughout the process of my treatment. I would definitely go back there again.Verified by TrustindexTrustindex verified badge is the Universal Symbol of Trust. Only the greatest companies can get the verified badge who has a review score above 4.5, based on customer reviews over the past 12 months. Read more