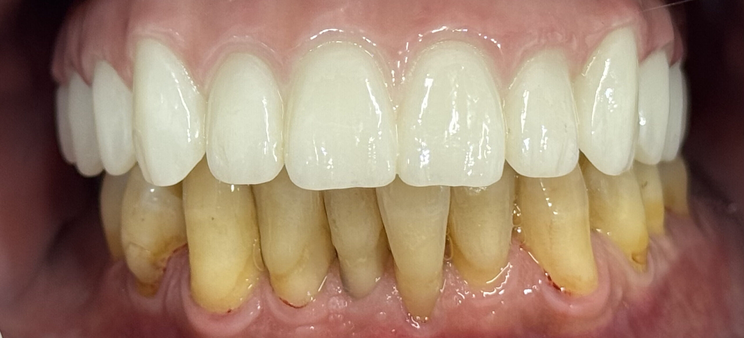
All-On-X is an innovative treatment that replaces an entire arch of teeth using a small number of strategically placed implants. This solution is ideal for patients seeking a fixed and reliable alternative to traditional complete dentures.
•Provides a complete set of fixed teeth supported by implants
• Offers exceptional stability and comfort
• Enhances appearance and facial support
• Allows you to eat confidently without movement
• Delivers long-term and predictable results
The process involves removing any remaining teeth when required, placing a series of implants into the jawbone and attaching a custom-made complete arch prosthesis. Many patients can leave with a fixed temporary restoration on the same day, followed by a final prosthesis once healing is complete.
Protect your oral health with trusted, comprehensive dental care. Book your appointment today for a cleaner, brighter, healthier smile.
Our implant specialist uses advanced diagnostic imaging and precise surgical planning to design a stable, customised All-on-X solution. With a focus on comfort, aesthetics, and long-term function, we restore your smile with predictable, high-quality results.
( 01 )
Schedule your implant consultation to discuss concerns, goals, and suitability for full-arch restoration.
( 02 )
We perform scans and assess bone structure, gum health, and oral conditions. Your dentist creates a personalised plan, including implant placement and restoration design.
( 03 )
Strategically placed implants support a full-arch prosthesis. Temporary teeth are often provided the same day, followed by a final, durable restoration once healing is complete.
All-on-X restores your smile with stable, functional, and natural-looking teeth. Patients gain improved chewing ability, confidence, comfort, and long-term oral health support.

Choose from a wide range of programs tailored to individuals, teams, and communities—each grounded in empathy and evidence-based practices.
Provides accurate 3D views of bone structure and nerve positioning, allowing for safe, strategic implant placement with excellent long-term stability.
Custom digital guides ensure implants are placed with controlled angulation and depth, improving efficiency and treatment outcomes.
A simple guide with quick answers to the questions people ask most, helping you understand our dental care services with ease
Typically 4–6 implants support a full arch, depending on bone density and treatment needs.
Most patients experience minimal discomfort, thanks to anaesthesia and modern surgical techniques. Any soreness after surgery usually subsides within a few days.
Many patients receive temporary teeth on the same day, with final restoration placed after healing, usually within 3–6 months.
With proper care, implants can last decades. The prosthetic arch may require maintenance or replacement over time, depending on wear.