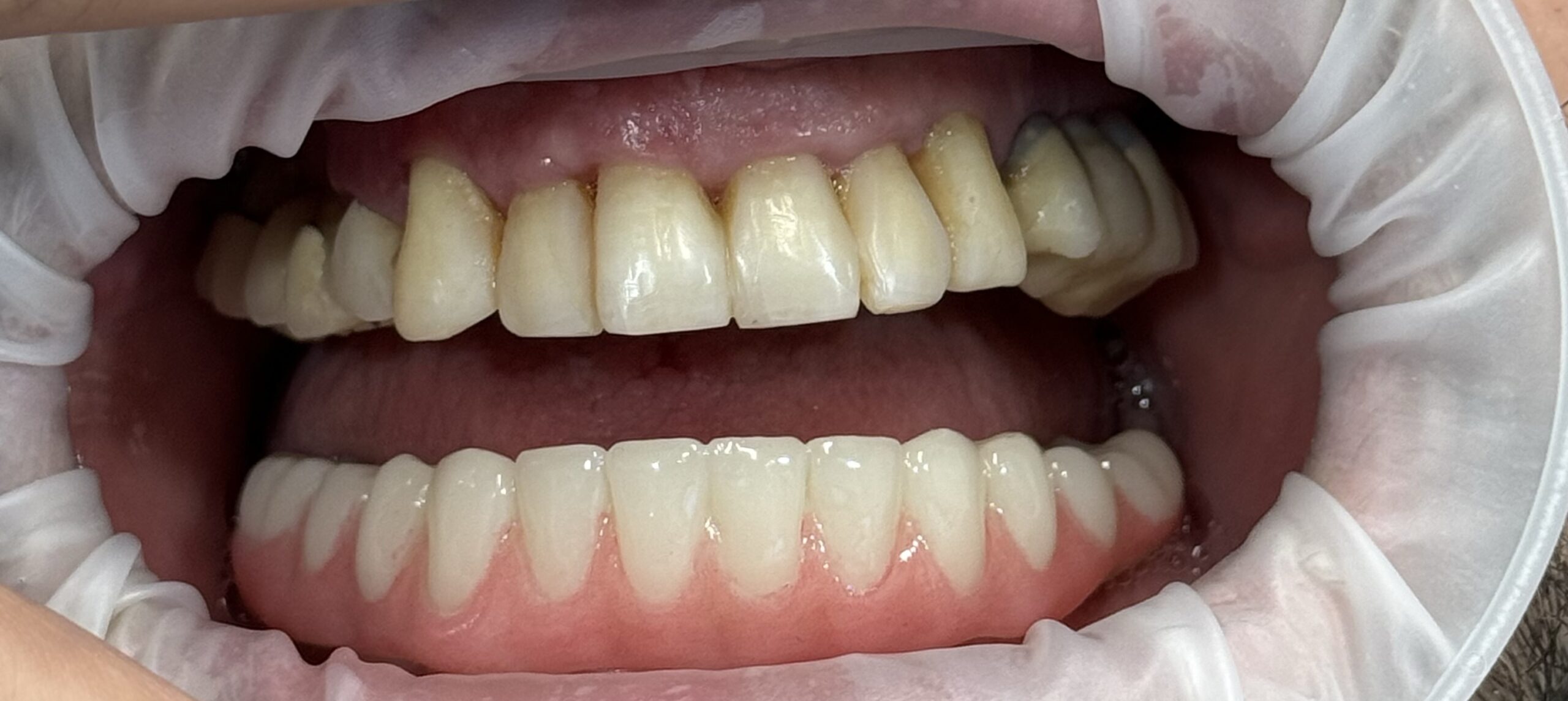
If you have lost several teeth in a row, implants can support a bridge that replaces multiple teeth. This approach offers greater support and longevity compared to traditional dentures or bridges.
Benefits of Multiple Tooth Implants:
• Greater stability than removable partial dentures
• Helps maintain jawbone structure
• Natural-looking results that blend with your smile
• Allows strong chewing function
Implants are strategically placed in the jaw to support a custom bridge. This reduces pressure on the remaining natural teeth and provides a permanent and fixed replacement.
Protect your oral health with trusted, comprehensive dental care. Book your appointment today for a cleaner, brighter, healthier smile.
Our dentist provides gentle, thorough care using advanced diagnostic tools. With a focus on comfort and preventive dentistry, each appointment is designed to keep your smile healthy and your experience stress-free.
( 01 )
Begin with a consultation to evaluate your suitability for dental implants and discuss your goals.
( 02 )
Digital scans and X-rays assess your bone structure, gum health, and treatment requirements. A personalised implant plan is created.
( 03 )
The implant post is surgically placed in the jawbone, followed by a healing period. Once integrated, a custom crown is attached for a natural finish.
Dental implants provide a stable, realistic replacement that looks and functions like a natural tooth. They improve comfort, confidence, chewing strength, and overall oral health.

Choose from a wide range of programs tailored to individuals, teams, and communities—each grounded in empathy and evidence-based practices.
Provides a 3D view of jawbone structure, nerves, and surrounding tissues, ensuring safe and accurate implant positioning.
Digital planning software creates a surgical guide, improving precision and reducing recovery time for optimal implant results.
A simple guide with quick answers to the questions people ask most, helping you understand our dental care services with ease
With proper care, implants can last 15+ years and often much longer.
Local anaesthesia is used, so most patients feel minimal discomfort. Some soreness afterward is normal and temporary.
Typically between 3–6 months, depending on healing and whether bone grafting is needed.
Most patients are eligible, but good bone support and healthy gums are important. A consultation will confirm suitability.