Our Services

Safe Removal for Long-Term Comfort and Oral Health

Wisdom teeth removal is a common procedure to prevent pain, crowding, and infections caused by impacted or partially erupted wisdom teeth. By removing these problematic teeth early, you reduce the risk of future complications and protect your overall dental health.

Preventing Future Problems

Wisdom teeth often become impacted or grow at an angle, which can lead to swelling, infection, pain or damage to nearby teeth. Early evaluation allows us to determine whether removal is necessary before complications arise.

Assessment and Procedure

Your dentist will examine your mouth and take digital x-rays to assess the positioning of your wisdom teeth. If removal is recommended, sedation options may be discussed for your comfort. The procedure is performed with precision to ensure a smooth recovery.

Aftercare and Recovery

Postoperative instructions are provided and most patients recover within a few days. Swelling and discomfort are common but manageable with recommended care.

routine dental examination
Your Smile Deserves Expert Care

Protect your oral health with trusted, comprehensive dental care. Book your appointment today for a cleaner, brighter, healthier smile.

Purpose & BENEFITS

Who It’s For

dr. Thomas Ranzy - Bay Central Dental
Dentist Introduction
Dr. Thomas Ramzy

Our dentist performs wisdom teeth removal with careful planning and gentle techniques. Whether it’s a simple extraction or a more complex case, your comfort and safety are the top priority, with guidance every step of the way.

Treatment Process

Seamless Care in Three Steps

( 01 )

Book Appointment

Your dentist will review your symptoms and take diagnostic images to understand the position of your wisdom teeth.

( 02 )

Medical Consultation

A detailed assessment is done using X-rays or scans. Your dentist explains the type of extraction needed, sedation options, and what to expect during recovery.

( 03 )

Treatment & Care

Wisdom teeth are removed using precise surgical techniques. After the procedure, you’ll receive clear aftercare instructions to manage healing, swelling, and comfort.

Technology

Quality Dental Treatments You Can Trust

Choose from a wide range of programs tailored to individuals, teams, and communities—each grounded in empathy and evidence-based practices.

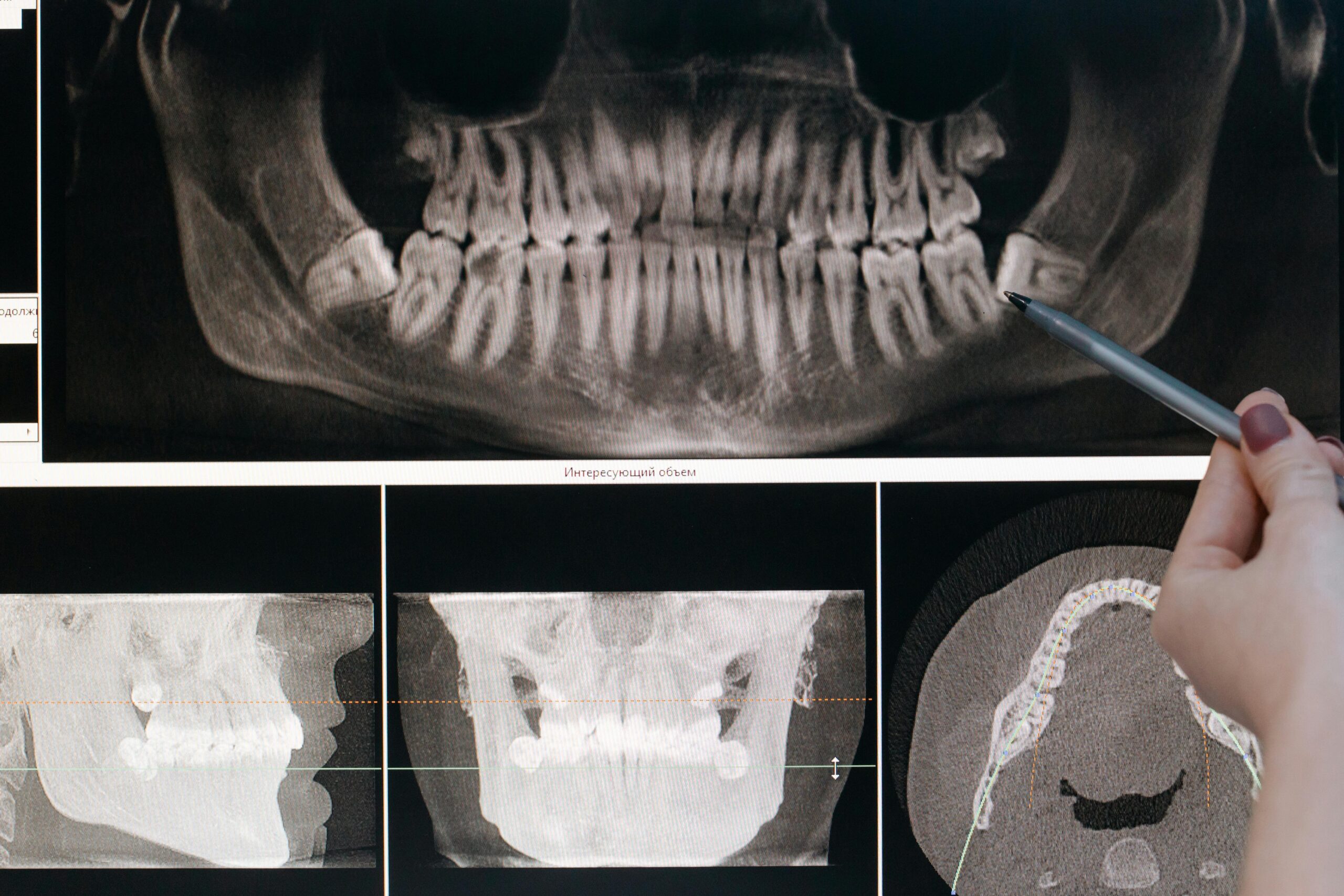
3D Cone Beam CT Scan

Detailed Imaging for Safer Extractions

This scan provides a full 3D view of your wisdom teeth, nerves, and jaw structure, helping your dentist plan the extraction with accuracy and minimise complications.

Piezoelectric Surgical Device

Gentle, Precise Bone Cutting

Using ultrasonic vibrations, this tool allows more controlled cuts around the tooth, reducing trauma, swelling, and improving healing comfort.

bay central dental customer
Have More Any Questions?

A simple guide with quick answers to the questions people ask most, helping you understand our dental care services with ease

Common Questions

Frequently Asked Questions About Our Services

Does wisdom teeth removal hurt?

You’ll be numbed or sedated depending on your case. You may feel pressure, but not pain during the procedure.

Most people recover within a few days, though full healing varies. Your dentist will give tailored aftercare steps.

Not always — only those causing problems or likely to cause issues in the future.

Soft foods are recommended at first. You can slowly return to regular eating as healing progresses.

Contact Detail

Phone

02 9521 1492

Mail

info@baycentraldental.com.au

Address

Shop G.05B Ground floor, Woolooware Bay Central, 453A Captain Cook Drive, Woolooware 2230